Volver Noticias de Burgos - BurgosNoticias.com
Identifican cómo algunos gliomas adquieren resistencia a la quimioterapia

Identifican cómo algunos gliomas adquieren resistencia a la quimioterapia

Actualizado 04/08/2020 18:36

Investigadores del CNIO y de la Universidad de Ciencia y Tecnología de Hong Kong ha descubierto un nuevo mecanismo por el que los tumores cerebrales evaden este tratamiento mediante reordenamiento genómico del gen de reparación del ADN.

Un equipo liderado por Massimo Squatrito, jefe del Grupo de Tumores Cerebrales Fundación Seve Ballesteros del Centro Nacional de Investigaciones Oncológicas (CNIO), ha realizado un importante avance en la comprensión de cómo algunos gliomas pueden generar resistencia a la quimioterapia.

Coordinado en colaboración con el laboratorio de Jiguang Wang, de la Universidad de Ciencia y Tecnología de Hong Kong, y Tao Jiang, del Instituto Neurológico de Beijing (China), el estudio proporciona nuevas pistas sobre cómo monitorizar la eficacia de las terapias. El trabajo se publica en Nature Communications.

A día de hoy, el principal y casi único tratamiento para los gliomas ?uno de los tipos más comunes de tumor cerebral? es la combinación de radioterapia con el agente de quimioterapia llamado temozolomida, una estrategia que puede ampliar hasta un 30 % la supervivencia de estos pacientes.

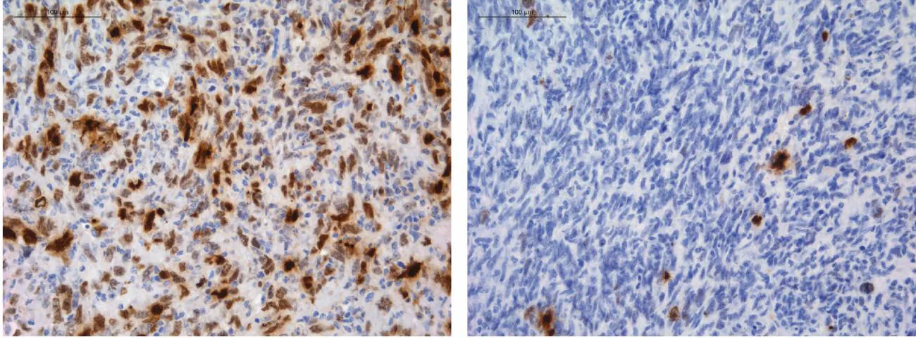
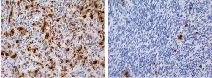
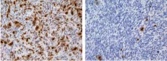
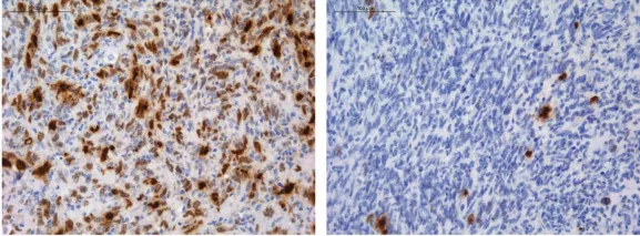
Como la mayoría de la quimioterapia, la temozolomida induce daños en el ADN de las células tumorales. Los gliomas pueden progresar reparando este daño a través de una enzima codificada por el gen MGMT. En pacientes cuya actividad de MGMT está bloqueada a causa de una modificación de su promotor llamada 'hipermetilación', las células del cáncer no pueden reparar el daño producido por la temozolomida y colapsan.

Desafortunadamente, en torno a un 40 % y un 50% de los afectados son resistentes a la temozolomida. Estos pacientes expresan altos niveles de MGMT y el tumor continúa creciendo aun bajo el tratamiento.

El nuevo estudio ha desvelado que un subtipo de pacientes adquiere una alteración genética específica que pueden evadir la terapia combinada.

"Observamos que en un grupo de pacientes se producía una traslocación de MGMT", explica Massimo Squatrito. "Estos reordenamientos genómicos involucran la fusión de MGMT con otros genes, lo que implica que MGMT pasa a estar regulado por los promotores con los que se ha funcionado, lo que contribuye a su sobreexpresión. Cuando se producen estos reordenamientos, el daño al ADN inducido por la temozolomida se repara y el glioma continúa creciendo incluso a pesar del tratamiento".

El equipo de la Universidad de Ciencia y Tecnología de Hong Kong validó la presencia de estos reordenamientos en un subtipo de una gran cohorte de tumores recurrentes procedente de diferentes hospitales, principalmente del Hospital Beijing Tiantan. Utilizando la técnica de edición genómica CRISPR-Cas9.

Por su parte, los investigadores del CNIO replicaron algunas de estas translocaciones en diferentes modelos animales y celulares y confirmaron que pueden conferir resistencia a la temozolomida. "Parece que las translocaciones no están presentes en el tumor original, solo en los recurrentes, aquellos que surgen después de que el cáncer original se trate", continúa Squatrito. "Esto indica que la resistencia puede ocurrir a consecuencia del propio tratamiento".

Cambios en la monitorización de la terapia

El hallazgo puede llevar a cambios en los métodos con los que se monitoriza la eficacia de la terapia: "A día de hoy, el único marcador terapéutico conocido en gliomas es el análisis del estado del promotor de MGMT. Si está metilado, se silencia el gen MGMT y se predice que el paciente responderá a la temozolomida. Nuestro estudio demuestra que este método ya no has válido cuando se ha producido translocación genómica. Aunque su promotor siga bloqueado, el gen está siendo sobreactivado por otros promotores y contribuirá a la recurrencia del tumor".

Otro importante resultado del trabajo en los modelos animales es que los investigadores han detectado la presencia de esta traslocación de MGMT en los exosomas, es decir, en las partículas que el glioma libera al torrente sanguíneo.

"Si este hallazgo se confirma en pacientes, podría constituir una herramienta de detección temprana de resistencia. Mediante un sencillo análisis de biopsia líquida con solo unas muestras de sangre, podríamos saber qué pacientes están desarrollando resistencia a la temozolomida y ayudará a cambiar a otras opciones terapéuticas, cuando estén disponibles", dice Squatrito

En próximos pasos de la investigación, el equipo identificará nuevas formas de tratamiento para los pacientes resistentes a la temozolomida.

El trabajo ha sido financiado por el Instituto de Salud Carlos III, la Fundación Seve Ballesteros, la Asociación Española Contra el Cáncer (AECC), la Natural Science Foundation of China, el Research Grants Council de Hong Kong, la Beijing Municipal Administration of Hospitals, el Beijing Nova Program y la Beijing Talents Foundation.