Volver Noticias de Burgos - BurgosNoticias.com
La transformación de grasa blanca en parda puede ser beneficiosa para la prevención del cáncer de próstata

La transformación de grasa blanca en parda puede ser beneficiosa para la prevención del cáncer de próstata

Actualizado 04/11/2023 08:47

Este estudio en ratones del Instituto Universitario de Oncología del Principado de Asturias demuestra que mientras la grasa blanca, propia de la obesidad, contribuye al crecimiento y la progresión tumoral, la presencia de grasa parda en el entorno del tumor previene su crecimiento.

El cáncer de próstata es uno de los tumores con mayor incidencia entre los varones adultos en países occidentales; de hecho, uno de cada nueve hombres por encima de 65 años desarrollará un cáncer de próstata invasivo con elevada tasa de morbilidad y mortalidad. En este tipo de tumor, el porcentaje total de grasa corporal eleva el riesgo de padecerlo, ya que el tejido adiposo es uno de los componentes mayoritarios del entorno tumoral. Asimismo, también se sabe que tanto la grasa blanca, más estudiada, como la parda, menos investigada, pueden incidir sobre el desarrollo del tumor.

Un grupo de investigación del Instituto Universitario de Oncología del Principado de Asturias (IUOPA) de la Universidad de Oviedo ha revelado que la transformación de grasa blanca en parda puede ser muy beneficiosa en términos de prevención y control del crecimiento tumoral. El estudio se publica en la revista Cell Communication and Signaling,

Rosa María Sainz, directora del IUOPA e investigadora principal del trabajo, recuerda que algunos grupos de investigación han demostrado el papel negativo que el tejido adiposo blanco, el tipo de grasa más común, tiene sobre la progresión tumoral. Sin embargo, a lo largo de la última década ha ido ganando atención, en el ámbito de la salud, el papel del tejido adiposo pardo.

"La grasa parda es una forma de grasa que genera calor y que desaparece con la edad, quedando reducida a pequeños nichos tisulares en las proximidades de riñones, timo o en la base del cuello. Es un tipo de grasa frecuente en el panículo adiposo de bebés (capa de tejido adiposo bajo la piel) y tiene por objeto mantener su temperatura corporal", apunta la investigadora.

"Sabemos también que se puede favorecer la generación de grasa parda por exposición a frío, mediante el ejercicio físico o a través de la ingesta de algunos alimentos y se ha propuesto, en el contexto de enfermedades metabólicas, como una herramienta eficaz para mantener una buena salud. Sin embargo, su papel en cáncer no se había estudiado con claridad", añade.

Por este motivo, el objetivo del trabajo de este grupo de investigadores de la Universidad de Oviedo se centró en estudiar el papel de los andrógenos --las hormonas masculinas fundamentales para el crecimiento en el cáncer de próstata-- en el control del contenido en tejido adiposo blanco y pardo en el entorno tumoral de la próstata. Además, analizó cómo la presencia de grasa parda podría afectar a la progresión tumoral.

Regular los procesos de proliferación del tumor

Sus hallazgos demostraron, por primera vez, que la grasa parda se puede controlar por las hormonas, en particular, por los niveles de testosterona circulantes. "Nuestros datos demuestran que mientras la grasa blanca, propia de la obesidad, contribuye al crecimiento y la progresión tumoral, la presencia de grasa parda en el entorno del tumor previene su crecimiento", subraya Alejandro Álvarez Artime, primer firmante del artículo.

"Estos resultados nos llevaron a concluir que los andrógenos cumplen un papel clave en los mecanismos que dominan la presencia de grasa blanca o parda en el microambiente tumoral de la próstata. Por otro lado, las células de grasa parda, además de ser beneficiosas para otras enfermedades metabólicas, son capaces de regular los procesos que gobiernan la proliferación y supervivencia de las células tumorales en la próstata ?añade?por lo que la transformación de grasa blanca en parda puede ser muy beneficiosa en términos de prevención y control del crecimiento tumoral".

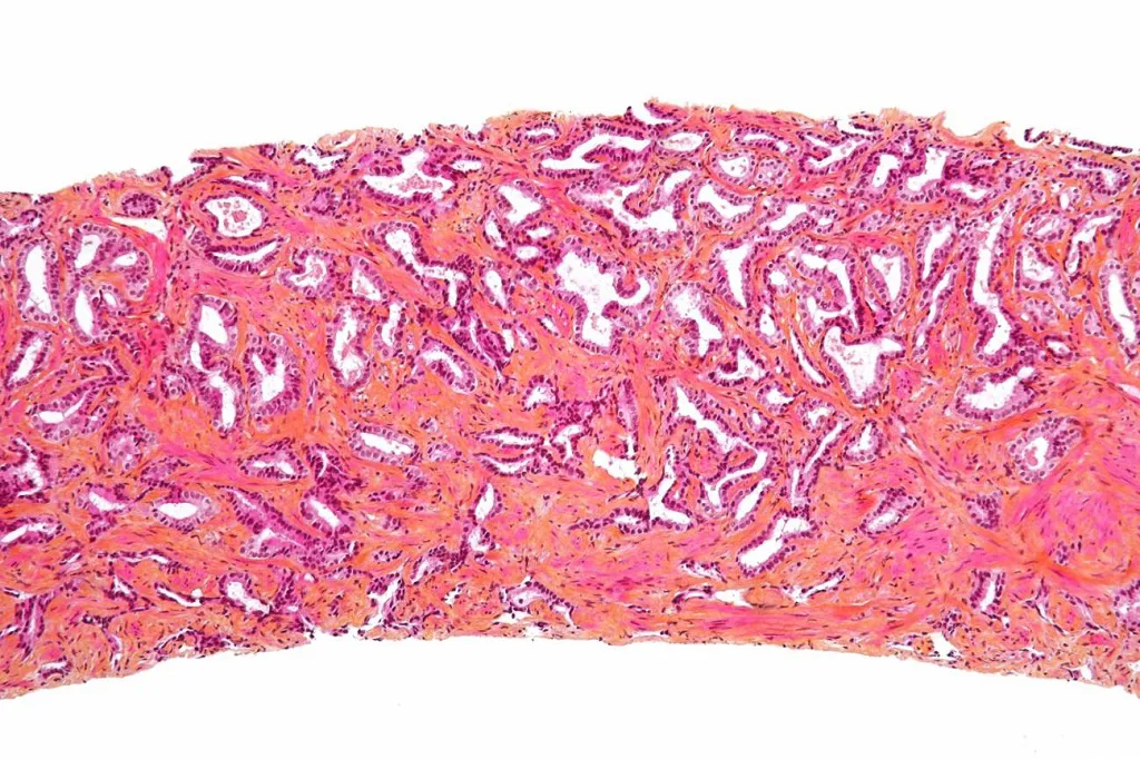
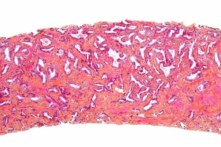
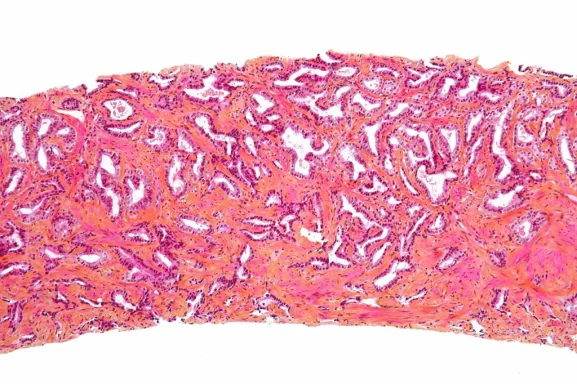
Los investigadores llegaron a estas conclusiones tras realizar estudios con ratones TRAMP, animales transgénicos que desarrollan cáncer de próstata. "Encontramos que, en estos ratones, el contenido en grasa blanca y parda estaba alterado por la ausencia de andrógenos, describiendo por primera vez la aparición de tejido adiposo pardo próximo a la próstata tras la eliminación de testosterona circulante", subraya Álvarez Artime.

"Demostramos en modelos celulares que el bloqueo de la señal androgénica provocaba un aumento de UCP-1 o termogenina, la proteína que aparece en las mitocondrias de las células adiposas pardas y que es responsable de la generación de calor. Y, por último, observamos como los adipocitos pardos que aparecen tras la eliminación de los andrógenos eran capaces de comunicarse con las células tumorales mediante la producción de vesículas extracelulares que tanto in vivo como in vitro reducen el crecimiento celular y el tamaño de tumores implantados en ratones", concluye María Sainz.